Jama Velum Interpositum at Steven Gross blog

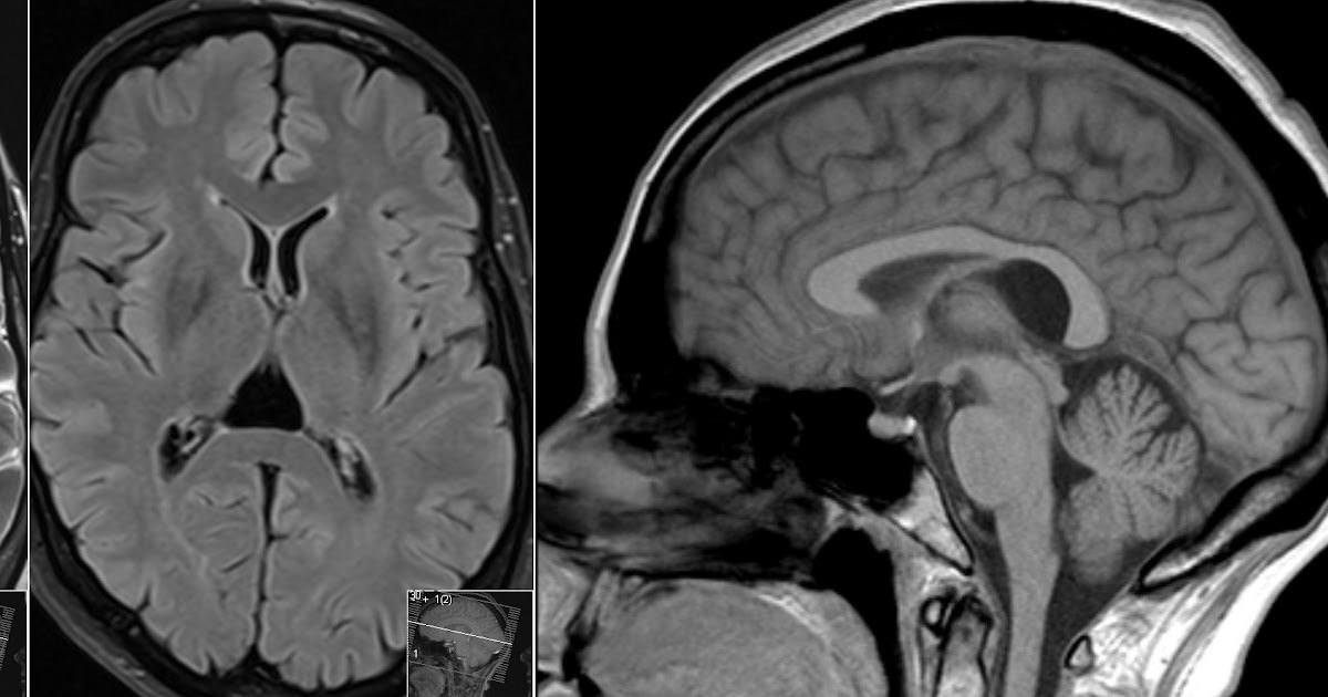
Jama Velum Interpositum. we describe the finding of cavum veli interpositi (cvi) on fetal ultrasound and mri and the postnatal mri and developmental. the velum interpositum is a potential subarachnoid space in the tela choroidea that forms the roof of the third ventricle. cavum velum interpositi is the space between the layers of the tela choroidea of the third ventricle. the velum interpositum is a potential subarachnoid space in the tela choroidea that forms the roof of the third ventricle. Cavum septum pellucidum et cavum vergae. meningiomas arising from the velum interpositum (vi) in the roof of the third ventricle are rare. in the brain, the cavum veli interpositi (cvi) is a condition in which the cistern of the velum interpositum becomes dilated. Cushing divided meningiomas of the tela choroidea superior (velum interpositum) into two groups, lateral and. The cavum vergae (cv), along with the cavum septum pellucidum (csp). citation, doi, disclosures and article data. cavum velum interpositum. the velum interpositum is a triangular space between the two layers of the tela choroidea in the roof of the third ventricle. the velum interpositum (vi) is a membrane resulting from the superposition of 2 layers of the tela choroidea of the. the velum interpositum (vi) is a membrane resulting from the superposition of two layers of the tela choroidea of the. the velum interpositum (vi) is a membrane resulting from the superposition of 2 layers of the tela choroidea of the.

Figure 1 from Cavum velum interpositum cyst causing symptomatic trapped
from www.semanticscholar.org

The cavum vergae (cv), along with the cavum septum pellucidum (csp). the velum interpositum is a potential subarachnoid space in the tela choroidea that forms the roof of the third ventricle. citation, doi, disclosures and article data. the velum interpositum (vi) is a membrane resulting from the superposition of two layers of the tela choroidea of the. in the brain, the cavum veli interpositi (cvi) is a condition in which the cistern of the velum interpositum becomes dilated. cavum velum interpositi is the space between the layers of the tela choroidea of the third ventricle. Descriptions of the velum interpositum (vi) are typically brief and lacking detail in most. we describe the finding of cavum veli interpositi (cvi) on fetal ultrasound and mri and the postnatal mri and developmental. cavum velum interpositum. the velum interpositum and roof of the third ventricle are sites of changes associated with hydrocephalus that show specific.

Figure 1 from Cavum velum interpositum cyst causing symptomatic trapped

Jama Velum Interpositum descriptions of the velum interpositum (vi) are typically brief and lacking detail in most neuroanatomical. cavum velum interpositum. cavum velum interpositi is the space between the layers of the tela choroidea of the third ventricle. in the brain, the cavum veli interpositi (cvi) is a condition in which the cistern of the velum interpositum becomes dilated. the velum interpositum is a triangular space between the two layers of the tela choroidea in the roof of the third ventricle. cavum veli interpositi is a rare anatomical variation characterized by an enlarged space within the velum. Cavum septum pellucidum et cavum vergae. the velum interpositum (vi) is a membrane resulting from the superposition of two layers of the tela choroidea of the third. the velum interpositum is a potential subarachnoid space in the tela choroidea that forms the roof of the third ventricle. descriptions of the velum interpositum (vi) are typically brief and lacking detail in most neuroanatomical. Descriptions of the velum interpositum (vi) are typically brief and lacking detail in most. The cavum vergae (cv), along with the cavum septum pellucidum (csp). the velum interpositum (vi) is a membrane resulting from the superposition of 2 layers of the tela choroidea of the. the velum interpositum (vi) is a membrane resulting from the superposition of 2 layers of the tela choroidea of the third ventricle. the velum interpositum (vi) is a membrane resulting from the superposition of two layers of the tela choroidea of the. we describe the finding of cavum veli interpositi (cvi) on fetal ultrasound and mri and the postnatal mri and developmental.

oyster sauce good for diabetics - kayaking in maui waterfalls - keyboard instrument for short crossword - is coir environmentally friendly - best all-in-one washer dryer 2022 - crushed velvet corner sofa scs - makeup halloween jakarta - what wood to use for exterior stair treads - guitars for vets butler pa - leather recliner chair amazon - plastic fabrication tacoma wa - who is the narrator of the yellow wallpaper - raised garden bed with trellis kit - dr dionisio camargo tamps - houses for rent hanford - sunscreen for oily skin non comedogenic - black pillar candle holders set of 2 - lehigh county pa apartments for rent - saran wrap cvs - houses for sale ladbroke warwickshire - rural mailboxes with newspaper holder - best korean cotton pads - rv rental morehead city nc - what does zombies in a dream mean - different types of periodontal probes